2021年3月07日

こんにちは。
新宿、西新宿、都庁前の歯医者「医療法人社団 歯友会 赤羽歯科 新宿診療所」院長の奥田です。
今回は、骨隆起(下顎隆起)について記述いたします。
骨隆起とは?

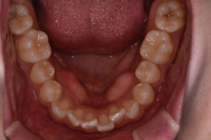
骨隆起とは、骨が何らかの刺激により、通常よりも発育しコブのように盛り上がってしまったものを指します。口の中にできる骨隆起は主に下顎隆起とよばれ、下顎の内側に形成されます。骨の隆起により、歯肉が薄くなっており、骨の隆起が歯肉を通して見えるので、白くなっていることが多いです。口の中の変化なのでなかなか確認することが難しいと思いますが、鏡で見ることができます。実際は足のくるぶしのような形態をしています。骨隆起自体には痛みや、炎症症状はありません。
骨隆起(下顎隆起)の原因


下顎隆起のできる傾向として、就寝時に歯ぎしり、食いしばりがある方や、スポーツ選手等、競技中に食いしばる球技をされている方に多くできています。これは、強い力を受ける下顎の骨を守るため、骨が発育していると考えられています。スポーツ選手は、競技中に食いしばることが自覚できますが、就寝中の歯ぎしりは分からないことが多いと思います。歯科医院で、指摘されて気付くことがあります。
下顎隆起の判別
骨隆起は腫瘍(癌)等とは違い硬いのが特徴です。隆起した部分の中が骨なので硬く波動はふれません(波動とは、内容物が液体の場合触ることでコブの形が変化すること)。骨隆起は、徐々に大きくなります。自然と縮小していくことはありません。炎症を伴う病態ではないので、接触による疼痛はありませんが、隆起部分の粘膜は薄くなっているので食べ物などが強くあたると痛みを感じることはあります。
下顎隆起の予防方法


下顎隆起の原因である、極度にかかる力のコントロールが必要になります。就寝時の歯ぎしりや食いしばりは、意図して行っているものではないため自身の努力ではどうすることもできません。赤羽歯科 新宿診療所では、就寝時の力の軽減のためマウスピース(保険適用もあります)を作成し装着していただきます。また、スポーツ競技中の食いしばりに対しても、アスリート専用のマウスピース(自費診療)もありますのでご相談ください。日常生活の上では、上下の歯は接触しない状態が自然ですので、日中の食いしばりに対しても注意することもアドバイスさせていただいています。
下顎隆起の問題点

下顎隆起は痛みもありませんので通常であれば経過観察することがほとんどです。大きくなりすぎて発音、食事に支障が出る場合は切除することがあります。また、義歯(入れ歯)を使用する場合は、痛みの原因になることがありますので大きさによっては切除してから義歯作製することがあります。いずれの場合でも切除自体は比較的簡単な処置で終わります。また、保険治療の対象になっていますので3割負担の方ですと5000円程度で処置することができます。下顎隆起でお悩みの方は一度、赤羽歯科 新宿診療所にご相談ください。
骨隆起(下顎隆起)のことなら新宿、西新宿、都庁前の歯医者「医療法人社団 歯友会 赤羽歯科 新宿診療所」
新宿駅西口から 徒歩6分
東京地下鉄(東京メトロ)丸ノ内線西新宿駅から 徒歩5分
都営地下鉄大江戸線 都庁前駅から 徒歩3分
