2022年1月17日

こんにちは。西新宿、都庁前の歯医者「医療法人社団歯友会赤羽歯科 新宿診療所」の歯科医師の田中です。
今回のコラムは、矯正治療で上唇小帯切除について説明を受けた方、上唇の動きが気になる方に是非読んでいただけたらと思います。
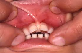
上唇小帯ってなに?


上唇小帯とは、上の唇をめくると中央に粘膜から歯茎にかけてみえる”すじ”のことです。上の唇と歯茎をつないでいるので上唇の固定と過度の運動を抑制する働きがあります。
大人(永久歯)より子供(乳歯)の時は上唇小帯は太く長くなっているのが正常で顎の成長と共に上唇小帯の位置が上に移動していき幅も狭くなっていきます。しかし、6~7歳(前歯の永久歯が生えるころ)になっても変化がみられないと、生活に支障がではじめます。
特にインプラントをお考えの方は注意が必要です。
上唇小帯に異常があるとインプラント周りの歯肉が動いてしまうことがあり、上唇小帯、頬小帯の切除を行う必要があります。
★インプラントについては過去の記事をご覧ください。
インプラント治療のことでお悩みがございましたらお電話でご連絡いただくか担当医へご相談下さい。
お問い合わせ方法
《パソコンの方》
ページ上部に電話番号がございます。
《スマートフォンの方》
ページ下部の『電話』ボタンをタップして下さい。
上唇小帯に異常あるとどうなるの?

・前歯が生えてくるののを邪魔したり、前歯の位置の異常(すきっ歯 正中離開)の原因になります。
・歯ブラシの時不快感があり、当たると痛いので磨き残しがでてしまい虫歯や歯周病のリスクが増します。
歯列矯正と上唇小帯
前歯の矯正治療をする場合、上唇小帯が太くしっかり残っているときれいに並ばないことがあちます、また矯正できたとしても上唇小帯のせいでまた正中離開してくることがあります。上唇小帯の切除を矯正医から依頼されることも多くあります。
上唇小帯切除 術式

①表面麻酔にて麻酔針の刺入の際の痛みをとる
②上唇小帯を引っ張って固定して小帯を切除します。
③後戻りを防ぐためにしっかり縫合します。
④1週間程度で抜糸します。
⑤3か月程で後戻りがないことを確認します。
治療のリスク
出血をともなう観血処置になりますので、血が止まりにくい方や、糖尿病の既往のある方は注意が必要です。しかし、比較的簡単な処置ですので特に問題になるようなことはありません。
上唇小帯切除術 まとめ
上唇小帯は、特に異常な組織ではありませんが、歯ブラシの時、痛みがでたり、歯列矯正の際、邪魔になることがあるので、唇をめくってみて、気になったり、矯正医に指摘されましたら、赤羽歯科 新宿診療所にご相談ください。治療費は保険適用で3000円前後です。
歯列矯正と上唇小帯切除術のことなら西新宿、都庁前の歯医者「医療法人社団 歯友会 赤羽歯科 新宿診療所」
新宿駅西口から 徒歩6分
東京地下鉄(東京メトロ)丸ノ内線西新宿駅から 徒歩5分
都営地下鉄大江戸線 都庁前駅から 徒歩3分