酸蝕歯(さんしょくし)てなに?|赤羽歯科 新宿診療所|西新宿・都庁前の歯医者(土日祝診療)

〒163-0204 東京都新宿区西新宿2-6-1 新宿住友三角ビル4F

03-3344-6488

Web予約 English Page
診療スペース

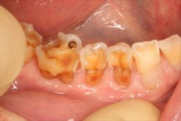
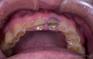
酸蝕歯(さんしょくし)てなに?

酸蝕歯(さんしょくし)てなに?|赤羽歯科 新宿診療所|西新宿・都庁前の歯医者(土日祝診療)

2020年10月19日

こちらの記事は現在準備中です。

TOP