歯茎が腫れる理由(なんで歯茎が腫れるの?)|赤羽歯科 新宿診療所|西新宿・都庁前の歯医者(土日祝診療)

〒163-0204 東京都新宿区西新宿2-6-1 新宿住友三角ビル4F

03-3344-6488

Web予約 English Page
診療スペース

歯茎が腫れる理由(なんで歯茎が腫れるの?)

歯茎が腫れる理由(なんで歯茎が腫れるの?)|赤羽歯科 新宿診療所|西新宿・都庁前の歯医者(土日祝診療)

2022年5月16日

歯茎が腫れる理由(なんで歯茎が腫れるの?)

みなさんこんにちは。

西新宿、都庁前の歯医者「医療法人社団歯友会赤羽歯科 新宿診療所」衛生士の吉田です。

最近みなさんからお話を聞くときに歯茎が腫れている、歯茎から出血しているなどのお声をよく聞きます。どうして歯茎が腫れるのか、みなさんは知っていますか?今回のコラムではそのことについてお話しさせていただきます。

歯茎が腫れる原因

・歯周病

・歯根破折

この2つは細菌由来の炎症によって歯茎が腫れてしまうのです。

他にも、

・歯ブラシの圧が強い

などがあります。

歯茎が腫れるメカニズム

歯茎が腫れる原因は分かりましたか?ではその原因によってどのように歯茎が腫れるのか、メカニズムについてお話しします。

・歯周病

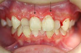
歯周病とは、歯茎の中にプラーク(汚れ)が入り込み、炎症が起こることで歯を支える骨が少なくなり、最終的には歯が揺れて抜けてしまうという病気です。

歯周病は痛みなどの自覚症状が少なく、炎症によって歯茎が腫れる、歯磨きをしたときに出血するなどの視覚的症状でよく現れます。

・歯根破折

歯根破折とは、歯に強い力が加わることで歯自体に亀裂(ヒビ)が入り、割れてしまった状態の事を指します。割れてしまうと、その亀裂に沿って細菌が入り込み炎症を起こして歯茎が腫れます。歯ぎしりや食いしばり、一本の歯に力が集中すると亀裂が入りやすいです。

・歯ブラシの圧が強い

歯ブラシの圧が強いと歯茎がその刺激に負けないよう、分厚くなります。歯の縁に沿ってぷっくりロール状に腫れていると、歯磨きの際に力が入りすぎている証拠です。

対策と予防

ここまでで、歯茎がなぜ腫れるのかわかりましたか?

最後に歯茎が腫れないようにするため、腫れた時どうすればよいかの対策と予防についてお話して終わりたいと思います。

歯周病は汚れが原因のため、毎日のセルフケアにより細菌を除去することが大切です。

歯磨きをしっかり行うことと、定期的に歯医者に通い、お口の中のクリーニング(メンテナンス)をしてもらいながらどこが磨けていないか、また、磨きすぎてはいないか、歯周病になっていないか、ドクターや衛生士に確認することも大切です。

お口の中のクリーニングに来ていただくことによって、歯周病の他にも歯根破折や虫歯の有無、その他のお口の中の異常を早期発見・早期治療することで大きくなる前に、未然に防げることもあります。そのため、みなさん定期的なクリーニングに赤羽歯科へご来院ください!

「歯茎が腫れた」心配になったら、西新宿、都庁前の歯医者「医療法人社団 歯友会 赤羽歯科 新宿診療所」

新宿駅西口から 徒歩6分
東京地下鉄(東京メトロ)丸ノ内線西新宿駅から 徒歩5分
都営地下鉄大江戸線 都庁前駅から 徒歩3分

TOP