2021年8月16日

こんにちは。新宿、西新宿、都庁前の歯医者「医療法人社団歯友会 赤羽歯科 新宿診療所」院長の奥田です。
本コラムでは歯の色の変化である着色と変色について、その原因や予防法、治療法についてお伝えしたいと思います。
着色と変色の違い
まず結果からお伝えすると
着色とは歯の表面に色がついてしまっている状態、変色とは歯の内部の色の変化により見た目が変わってしまう状態のことを指します。
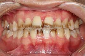
着色

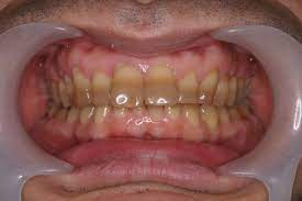
変色

着色の原因

着色の原因は主にポリフェノールを多く含む食品(コーヒー、紅茶、緑茶、ウーロン茶、赤ワイン、チョコレート、カレーなど)やたばこのやになどに含まれる色素が歯の表面に沈着することと言われています。
また、歯の表面にはペリクルと呼ばれるたんぱく質があり、このペリクルにより着色を引き起こしてしまう場合もあります。
着色の予防方法
着色の予防方法にはいくつかの方法が挙げられます。
1.ポリフェノールを多く含む飲食や喫煙を控える
水分補給にはポリフェノール(植物由来の着色成分)を多く含むコーヒーや紅茶ではなく、水を飲んでいただくことにより着色を予防できます。
また着色成分を多く含む飲み物を飲まれる場合はストローを使うことでもある程度の着色の予防を期待できます。
しかしながら日々の生活のうち完全にこのような飲食を控えるのは難しいかと思います。
着色成分は摂取してすぐは歯にこびりついていないので長時間口の中に含まないようにしましょう。
2.飲食後はしっかり歯磨きをして汚れを落とす。
飲食後の歯磨きでステインによる着色汚れ、歯垢をしっかり落とすことはとても大切です。
歯の表面がツルツルと滑沢であることにより細菌が付着しないようになっており清潔な状態を保てるようになっています。
歯の表面を研磨剤入りの歯磨き粉でゴシゴシと力強く磨いてしますと細かな傷ができてしまい細菌や汚れが付着しやすくなりステインによる外部の着色沈殿につながってしまいます。
歯の表面を傷つけないよう1本1本の歯を丁寧に適度な力加減で磨くブラッシングを心がけましょう。
3.水でお口の中を濯ぐ
直ぐに歯磨きができない場合は水でお口の中を濯ぐようにしてください。着色しやすい色素が薄まり歯への付着をある程度防ぐ効果があります。
4.キシリトールガムを噛んで唾液を出す
唾液の分泌を増やすために虫歯の心配の少ないキシリトールガムを噛むこともおすすめです。
歯の再石灰化を促進する唾液の分泌を増やし、お口の中を清潔に保つことが重要です。
着色の治療方法

すでに付着してしまった頑固な着色は歯ブラシではなかなか除去しづらいものです。
歯科医院での専門的な機械を使い歯の表面に付着したステインによる着色をきれいに除去することにより歯本来の色を取り戻すことができます。
特にタバコのヤニはご自身で除去することは極めて困難です。必要に応じてエアフローと呼ばれる細かなパウダーをジェット水流と共に歯に当て着色を取り除く機械を使うこともあります。
変色の原因
変色とは、主に加齢による歯の黄ばみです。
歯は象牙質と呼ばれる黄色みのある内層と白く透明なエナメル質と呼ばれる外層で包まれています。
加齢によりエナメル質は摩耗し薄くなり象牙質が透けて見えるようになり象牙質が透けて見えることにより黄色く映ります。
変色の治療方法
変色の場合、歯の表面ではなく内部の問題なので、着色と異なりクリーニングのみでは白く戻すことができません。
内部から白くするためにホワイトニングと呼ばれる、薬液で歯を白くする方法が有効と言われています。
ホワイトニングは薬液により化学的に歯を白くする’歯にとって刺激の強い治療となります。
虫歯がある方や知覚過敏のひどい方は先に治療を行ってから出ないとできない場合もあります。
まとめ
いかがでしたでしょうか。
単に歯の色の変化といっても原因により対処法は大きく異なります。
ご自身にあった対処法を見つけるためにも、おなやみの方は是非当院へ一度ご相談ください。
着色変色のことなら新宿、西新宿、都庁前の歯医者「医療法人社団歯友会 赤羽歯科 新宿診療所」
新宿駅西口から 徒歩6分
東京地下鉄(東京メトロ)丸の内線西新宿駅から 徒歩5分
都営地下鉄大江戸線 都庁前駅から 徒歩3分