歯の変色 (原因と対策) |赤羽歯科 新宿診療所|西新宿・都庁前の歯医者(土日祝診療)

〒163-0204 東京都新宿区西新宿2-6-1 新宿住友三角ビル4F

03-3344-6488

Web予約 English Page
診療スペース

歯の変色 (原因と対策) 

歯の変色 (原因と対策) |赤羽歯科 新宿診療所|西新宿・都庁前の歯医者(土日祝診療)

2021年2月22日

歯の変色 (原因と対策) 

こんにちは。
新宿、西新宿、都庁前の歯医者「医療法人社団 歯友会 赤羽歯科 新宿診療所」院長の奥田です。
今回は歯の変色の原因と対策について記述いたします。

歯の変色には2種類ある (表面の着色、内側からの変色)

歯の色の変色には、大きく分けて2種類の変化があります。①表面に着色物が付着して起きる変色。 ②歯の内側から、または歯そのものの変化があります。このコラムでは、それぞれについて説明していきたいと思います。

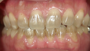
①歯の表面の変色

瀬戸物のカップを使用していると、次第にコーヒーやお茶の着色がついてきて、汚れがきれいに落ちなくなってくると思いますが、人間の歯の成分は瀬戸物に近い組成になっているため、皆さんの歯でも同じことが起きてしまいます。コーヒーやお茶にはタンニンとよばれる成分が入っています。このタンニンは、カルシウムやたんぱく質と結びつき、食物の色を歯に沈着させる性質があります。さらに、カレーや赤ワインのポリフェノール、たばこのヤニなどはそれぞれが沈着しやすい性質があります。このような着色が複雑な形状の歯に沈着すると汚れが落ちにくくなる仕組みです。また、天然の歯は表面が多少ザラザラ、凸凹していますのでこれも着色しやすい原因になります。

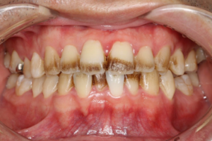
②歯の内側からの変色

歯の構造は、表面がエナメル質、内側に象牙質という黄色の組織があります。この象牙質は、年齢とともに黄色が濃くなっていきます。また、表面のエナメル質は、歯ブラシや歯ぎしりにより薄くなります。これにより、内面の濃くなった象牙質の色が表面に表れ歯の変色につながります。
また、虫歯などで神経を除去した歯は、神経と共に血管を失っていますので、血液を通して、栄養成分が代謝されないので歯牙内部の有機成分の割合が減少していき色の変化や強度低下にもつながっていきます。特徴的な変色として乳児期に接種した抗生物質(テトラサイクリン)による縞模様の変色や、永久歯のエナメル質形成期に多量のフッ素接種による白い斑点があります。

歯の変色の対処法①

①表面の変色は、基本的には歯ブラシによる機械的な清掃になりますが、実際にきれいになりません。衛生士による専門的なクリーニングが必要になります。赤羽歯科 新宿診療所では、衛生士が見えるところの汚れだけでなく、歯と歯の隙間などの細かい所まで時間をかけてきれいにしていきます。PMTC(Professional専門家 Mechanical器械を使用して Toooth歯 Cleaning磨く)とよばれるメンテナンスを定期的に行うことできれいでツルツルとした輝く歯を維持していきます。専用の機械としては、エアフロー(非常に細かいカルシウム粒子を歯に吹き付ける器械)とよばれる器械を使用することにより細かい所に入り込んだヤニなどを徹底的に除去できます。

歯の変色の対処法②

②内側からの変色は表面の汚れを落としただけではきれいになりません。歯そのものの色の変化ですのでホワイトニング、セラミックによる審美治療が必要になります。これらの治療法については、赤羽歯科 新宿診療所の過去のコラムを参照ください。

セラミックについて

セラミック治療後のメンテナンスについて

「歯を白くしたい!」とき、どうする?

まとめ

歯の変色にはいろいろなタイプがあり、それぞれ対処法が異なります。きれいな歯はそれだけで魅力的になります。赤羽歯科 新宿診療所では、歯の変色に対してオーダーメイドの処置を提案していきます。歯の色でお悩みの方は是非ご相談ください。

「歯の変色、白い歯、審美歯科」のことなら新宿、西新宿、都庁前の歯医者「医療法人社団 歯友会 赤羽歯科 新宿診療所」

新宿駅西口から 徒歩6分
東京地下鉄(東京メトロ)丸ノ内線西新宿駅から 徒歩5分
都営地下鉄大江戸線 都庁前駅から 徒歩3分

TOP